Chirurgie bi-maxillaire à la clinique lorraine du visage à Nancy

Chirurgie bi-maxillaire

La chirurgie bi-maxillaire est une intervention de chirurgie orthognathique qui corrige simultanément la position de la mâchoire supérieure (maxillaire) et de la mâchoire inférieure (mandibule).

Elle est indiquée lorsque les deux mâchoires sont mal positionnées et que cela entraîne à la fois des troubles fonctionnels (mastication, respiration, articulation) et un déséquilibre esthétique du visage.

Durée de l'acte 3 à 5 heures

Hospitalisation 1 à 3 jours

Anesthésie Générale

Eviction sociale environ 1 mois

Tarif Sur devis Tous les tarifs

Pourquoi réaliser une chirurgie bi-maxillaire ?

Cette opération peut être proposée si :

  • Les mâchoires ne s’emboîtent pas correctement malgré l’orthodontie seule.
  • Le maxillaire est trop en avant ou trop en arrière.
  • La mandibule est trop en avant (prognathisme) ou trop en retrait (rétrognathisme).
  • Il existe une asymétrie faciale importante.
  • Vous présentez des troubles respiratoires (comme l’apnée du sommeil).

Elle vise à rétablir à la fois la fonction (bien manger, bien parler, bien respirer) et l’harmonie esthétique du visage.

Les bénéfices attendus

  • Amélioration de l’occlusion et de la mastication.
  • Correction d’éventuels troubles respiratoires (dont l’apnée du sommeil).
  • Équilibre du visage et profil harmonieux.
  • Amélioration de l’articulation de la parole.
  • Gain en confort, santé et confiance en soi.
Chirurgie bi-maxillaire à la clinique lorraine du visage à Nancy

Déroulement de l'intervention

1. Préparation

Préparation

  • Consultations avec l’orthodontiste et le chirurgien maxillo-facial.
  • Traitement orthodontique préalable (12 à 24 mois) pour aligner les dents.
  • Bilan complet : radiographies, scanner 3D, photos et moulages dentaires.
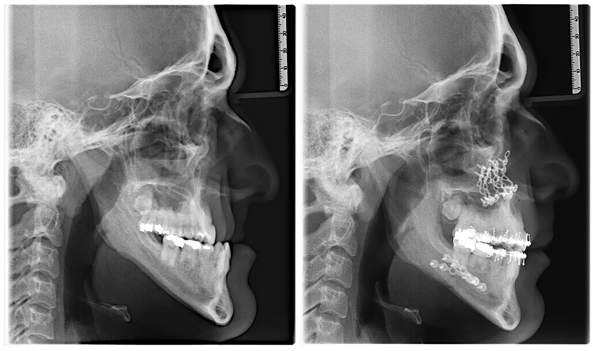
2. L’intervention chirurgicale

L’intervention chirurgicale

  • Réalisée sous anesthésie générale.
  • Incisions à l’intérieur de la bouche (pas de cicatrice visible).
  • Le maxillaire et la mandibule sont repositionnés en même temps.
  • Fixation avec des mini-plaques et vis en titane.
  • Durée moyenne : 3 à 5 heures.
  • Hospitalisation : 1 à 3 jours.
3. Suites opératoires

Suites opératoires

  • Gonflement du visage (maximal les 7 premiers jours, diminue ensuite).
  • Douleur modérée, bien contrôlée par les médicaments.
  • Difficulté temporaire pour parler et mastiquer.
  • Alimentation liquide puis mixée pendant 4 à 6 semaines.
  • Arrêt de travail/école : 4 à 6 semaines.
4. Après

Après

  • Reprise progressive des activités normales.
  • Poursuite du traitement orthodontique quelques mois pour parfaire le résultat.

Plus d'information sur la chirurgie bi-maxillaire

Risques possibles (rares)

Risques possibles (rares)

  • Engourdissement de la lèvre ou du menton (souvent temporaire).
  • Infection, saignement, retard de cicatrisation.
  • Récidive partielle de la position initiale des mâchoires.
  • Douleur articulaire (rare).

Votre chirurgien expliquera ces risques en détail et répondra à toutes vos questions.

Informations pratiques

Informations pratiques

  • Âge conseillé : après la fin de la croissance (à partir 16 ans généralement).
  • Durée de l’hospitalisation : 1 à 3 jours.
  • Convalescence : environ 1 mois.
  • Prise en charge : partielle par la sécurité sociale et mutuelles

La chirurgie bi-maxillaire est une intervention lourde mais très efficace, qui transforme le quotidien en améliorant à la fois la fonction (manger, respirer, parler) et l’esthétique du visage.

Chirurgie bi-maxillaire à la clinique lorraine du visage à Nancy

On répond à vos questions sur Chirurgie bi-maxillaire  

Est-ce que cette chirurgie est prise en charge par la sécurité sociale ?

Oui, lorsqu’elle est indiquée pour des raisons médicales (troubles de la mastication, respiration, douleurs). Une partie est remboursée par la sécurité sociale, et les mutuelles complètent en fonction des contrats.

Est-ce que ma voix ou mon sourire vont changer ?

La voix reste la même. Le sourire peut paraître un peu différent au début à cause du gonflement, mais il devient plus harmonieux et naturel après la cicatrisation.

Quand pourrai-je reprendre le travail ou les cours ?

Un arrêt de 4 à 6 semaines est généralement nécessaire, selon l’activité.

Lieux d'activité  

Clinique Lorraine du visage à Nancy

votre consultation

Clinique Lorraine du visage

Le Dr Rochefort et le Dr Basil, Chirurgiens Maxillo-Faciaux et du Visage, ont le plaisir de vous accueillir au sein de la Clinique Lorraine du Visage, cabinet privé, situé au 28 avenue Foch à Nancy, à proximité immédiate de la gare et des transports en communs.

28 Avenue Foch, 54000 NANCY

03 83 35 75 05

en savoir plus

Clinique Saint André à Nancy

votre hospitalisation

Clinique Saint André

Notre clinique est spécialisée en chirurgie et médecine maxillofaciale, alliant expertise et innovation pour des soins sur mesure. Notre équipe vous accompagne avec précision et bienveillance à chaque étape de votre prise en charge.

102 Av. Jean Jaurès, 54500 Vandœuvre-lès-Nancy

03 83 59 46 74

en savoir plus